История развития метода
Мульти-спиральная компьютерная томография (МСКТ) для диагностики атеросклеротического поражения сосудов стала использоваться c 90-х годов прошлого века [1]. В начале развития метода прямая визуализация коронарных артерий была невозможна, ввиду низкой разрешающей способности и высокого процента артефактов движения, поэтому атеросклеротическое поражение артерий оценивалось с помощью подсчета содержания внутрисосудистого кальция [1]. Количественная оценка коронарного кальциноза основана на коэффициенте рентгеновского поглощения и площади кальцинатов [44]. Согласно этой шкале, коронарный кальциноз определяется как участок плотностью более 130 HU [1]. Кальциевый индекс (КИ) по методу Агатстона, определяется как произведение площади кальцинированного поражения на фактор плотности. Было отмечено, что КИ отражает прогноз поражения сердечно-сосудистой системы и непосредственно коррелирует с частотой развития атеросклероза: чем выше показатель, тем больше риск атеросклеротического поражения [1,46]. К примеру, при низком КИ от 10 ед. и ниже - вероятность атеросклероза венечных артерий составляет не более 5-10%. При умеренном КИ от 11 до 100 ед., возможность наличия 50% сужения - не более 20%, при КИ 101-400 ед. – 75%, то есть умеренно высокий риск атеросклероза. А при высоком КИ, более 400 ед.- вероятность атеросклеротического поражения коронарных артерий около 90%[46].
КИ является предиктором развития будущих сердечно-сосудистых катастроф, частота случаев достоверно возрастала с увеличением показателя [57].
С созданием 4-х в 1999 году [43], а затем 8-ми спиральных компьютерных томографов в 2001 [43] появилась возможность диагностики не только статичных объектов c оценкой косвенных признаков атеросклеротического поражения, но и непосредственной визуализации состояния коронарного русла [1]. Но, к сожалению, ввиду высокой частоты появления дыхательных артефактов или возникающих ошибок, регистрируемых от движения сердца при использовании компьютерных томографов (КТ) с небольшим количеством спиралей [3], широкого развития данная методика не получила. Поэтому была поставлена цель, создать высокоскоростные системы, позволяющие получать изображение со скоростью одного сердечного цикла, то есть менее 500 мс (составляющее время полного оборота трубки), необходимого для качественной визуализации коронарных артерий. Развитие технологии шло очень быстро, и в конце 2001 года появились 16-ти [1,43], а затем и 32-х и 40- спиральные КТ системы, но данная задача окончательно не была решена. Лишь на пороге 2005 года [5,46], в арсенале врача появились неинвазивные 64-МСКТ, позволяющие еще быстрее получать изображение, с реконструкцией объемного изображения менее 0,5Х0,5Х0,6 мм [5,43].
Доказанное в прямом сравнении превосходство 64-спиральных КТ над 16-ти проявилось в более высокой степени достоверности визуализации, со значительно меньшим процентом артефактов движения [3,5,6,22,28]. Причиной этому является [3,20]:
1. более высокая скорость оборота трубки: 330-420 против 375-500 мс,
2. лучшая разрешающая способность: 0,4-0,6 против 0,75мм,
3. меньшее временное разрешение: 165-210 против 188-250 мс.
Помимо этого, при 64 МСКТ сканирование занимает меньшее время - 6-13с против 15-25с (у 16-спиральной), а также требуется меньший объем контрастного вещества: 50-80 мл против 70-100, что позволяет снизить риск осложнений [3].
Поэтому, в настоящее время, наряду с инвазивными методами, именно 64 МСКТ получила наиболее широкое распространение для диагностики заболеваний коронарных и периферических артерий [3,43].
Возможности 64 МСКТ в диагностике
64 МСКТ используется в диагностике сердечно-сосудистой системы при [2,7,9,15]:
1. Ишемической болезни сердца (ИБС)
2. Заболеваниях аорты (коарктации, аневризмы, диссекции и т. д.)
3. Поражении периферических артерий (облитерирующий атеросклероз артерий нижних конечностей, атеросклероз сонных артерий и т. д.)
4. Миокардитах
5. Перикардитах
6. Инфекционных эндокардитах
7. Тромбоэмболии легочной артерии
8. Врожденных аномалиях развития сердечно-сосудистой системы
9. Приобретенных пороках сердца (к примеру, кальциноз аортального клапана с развитием стеноза или недостаточности и т. д.)
10. Аритмиях.
![]() |
| Рис.1. 3-D реконструкция коронарных артерий при МСКТ. Визуализируются ствол ЛКА, ПМЖА, ПКА по всей длине. |
I. Коронарные артерии сердца.
Высокоразрешающая способность 64 МСКТ позволяет:
А) достоверно визуализировать коронарные артерии [2,3, 4,18], с уточнением локализации атеросклеротического поражения, выявления аномалий развития венечных сосудов сердца (рис №1,5,17).
Б) определять состоятельность аорто-коронарных шунтов и внутрисосудистых эндопротезов (стентов) [7,8,17,29,33] (рис №4).
В) проводить подсчет КИ [1,2,3,12], с целью уточнения прогноза заболевания.
Г) отмечать нарушения перфузии и жизнеспособности миокарда у больных в ранние и более поздние сроки инфаркта миокарда [2,13,24,45,50].
Д) оценивать сократительную способность сердца [2,11,13,21,25].
Е) изучать состояние перикарда, клапанов сердца [2,10] (рис №18-23,29-30)
Визуализация атеросклеротического поражения коронарных артерий с помощью МСКТ является альтернативой инвазивной коронарографии (КАГ) (рис № 5) и используется как при доказанной ИБС [2,3,12,40], при подозрении на ИБС, так и у асимптоматических больных [2,14,67] с целью диагностики, выявления групп риска и определения их дальнейшего прогноза.
В том числе показанием для проведения исследования являются [2,3,40,42]:
1. атипичные боли в грудной клетке,
2. наличие факторов риска:
- артериальная гипертензия,
- гиперлипидемия,
- ожирение,
- сахарный диабет,
- курение,
- высокий КИ,
- отягощенный семейный анамнез коронарной болезни сердца, внезапной смерти, поражении периферических артерий.
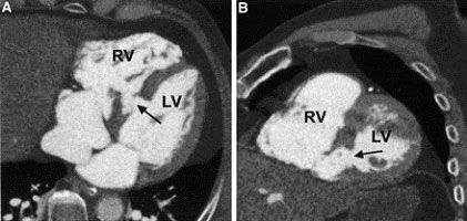
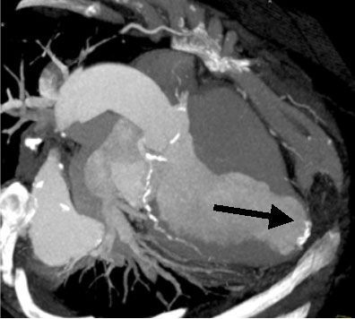
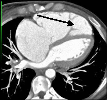
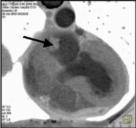
3. острые коронарные синдромы, инфаркты миокарда без подъема ST для оценки поражения венечных артерий сердца [16]. МСКТ позволяет диагностировать возможные осложнения при инфаркте миокарда, к примеру, разрыв межжелудочковой перегородки (рис № 2) [56], а так же развитие аневризмы левого желудочка (рис № 3).
![]() |
| Рис.2. МСКТ сердца. Аневризма в области верхушки левого желудочка (стрелка), кальциноз коронарных артерий. |
![]() |
| Рис.3. МСКТ сердца. Разрыв межжелудочковой перегородки при остром инфаркте миокарда (стрелка). |
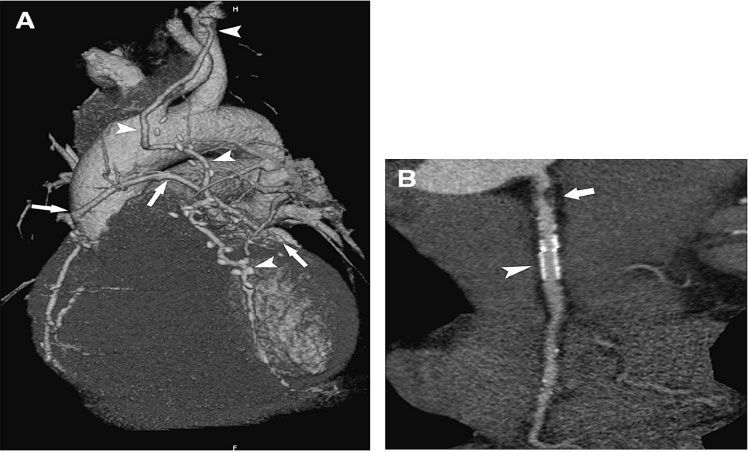
4. состояния после перенесенных после операций аорто - коронарного шунтирования (АКШ) или чрезкожной транслюминальной ангиопластики коронарных артерий (ЧТКА) с имплантацией стентов для определения состоятельности аорто - коронарных шунтов или внутрисосудистых эндопротезов [7,8] (рис.№ 4).
![]() |
| Рис.4. 3-D реконструкция у пациента после АКШ и ЧТКА со стентированием. Рисунок слева: стрелками отмечены аорто - коронарные шунты. Рисунок справа: стеноз проксимального сегмента коронарной артерии и ниже - функционирующий стент.
|
![]() |
| Рис.5. КАГ (E, F) и МСКТ коронарных артерий( A, B, C, D). Гемодинамически значимый стеноз ПКА (стрелки). |
II. Экстра- и интракраниальные сосуды.
МСКТ экстра- и интракраниальных сосудов проводится при: сосудистом поражении головного мозга, нарушении мозгового кровообращения – это показания для изучения анатомии интракраниальных сосудов, сосудов шеи с целью исключения аномалий развития, в том числе выявление всевозможных мальформаций артерий (рис. №6-7), а также для исключения атеросклеротического поражения экстра - и интракраниальных артерий у больных, которые перенесли острое нарушение мозгового кровообращения или транзиторные ишемические атаки (рис №8) [2,3]. Одновременно с исследованием артерий проводится реконструкция анатомии головного мозга, с выявлением мельчайших повреждений (опухолей, гематом и т.д.), размером от 0,4-0,6 мм. Точная диагностика при МСКТ позволит определить причину заболевания, локализацию поражения, что необходимо для определения тактики дальнейшего лечения.
![]() |
| Рис.6-7. Диагностированная аневризма артерии при МСКТ интракраниальных артерий (стрелки). |
![]() |
| Рис.8. МСКТ 3-D реконструкция сонных артерий. Стеноз левой внутренней сонной артерии (стрелка). |
III Дуга аорты, грудная и брюшная аорта.
При выявлении или подозрении на аномалии развития аорты и ее ветвей, последствия сифилитического аортита, атеросклеротическом поражении аорты с развитием аневризмы - это далеко весь перечень заболеваний, требующих проведения 64 МСКТ. Также показана возможность визуализации диссекции аневризмы аорты любой локализации [2,3,52].
Интересен клинический случай, описанный Leschka S. с соавт. (2005)[66] - при проведении эндоваскулярной коррекции по поводу коарктации аорты, у больного появились боли в области спины, экстренно выполненная 64 МСКТ позволила диагностировать острую диссекцию аорты, после чего пациенту выполнена открытая аортопластика.
Возможность высокоточной анатомо-топической диагностики, достоверность, скорость получаемой информации определяет необходимость в направлении больных с такой патологией на МСКТ.
![]() |
| Рис.9. МСКТ у пациента с коарктацией аорты (А,В) (стрелка). Аортография (С,D). Контроль за эффективностью эндоскопического лечения, последующее наблюдение(E,F). |
Также МСКТ используется для контроля после хирургического лечения коарктации аорты (рис №9)[55].
![]() |
| Рис.10. МСКТ у пациента с коарктацией аорты . |
![]() |
| Рис.11. Аномалия развития, двойная дуга аорты (стрелки). |
Следующее показание для обследования брюшной аорты и ее ветвей - это злокачественная артериальная гипертензия для выявления стеноза почечных артерий [2,3] (рис № 12).
![]() |
| Рис.12. МСКТ у пациента с вазоренальной артериальной гипертензией. Стеноз правой почечной артерии (стрелка). |
Клиническая картина стенозирующего поражения ветвей аорты также требует уточнения, таким пациентам возможно проведение инвазивной аортоангиографии (ААГ) или более удобной МСКТ (рис №.13,14).
![]() |
| Рис.13-14. МСКТ 3-D реконструкция брюшной аорты и периферических артерий. Справа: стеноз верхней мезентериальной артерии (стрелка). Слева: окклюзия правой подвздошной артерии (стрелка). |
IV. Периферические артерии верхних и нижних конечностей.
Клиника поражения периферических артерий, особенно при сахарном диабете, осложненном диабетической ангиопатией – это показание для направления на МСКТ. Следующая группа пациентов - это курильщики со стажем. Доказано прямое повреждение эндотелия сосудистой стенки при курении табака, поэтому частота облитерирующих заболеваний артерий у таких больных значительно выше. Результаты исследования помогут врачу в выборе проводимой терапии, в том числе малоинвазивного эндохирургического способа лечения.
![]() |
| Рис.15-16. 3-D реконструкция периферических артерий при МСКТ. Окклюзия левой подколенной артерии (стрелка). Множественные атеросклеротические поражения, правой бедренной и правой подколенной артерии. |
V. МСКТ сердца.
Помимо непосредственной визуализации коронарных артерий, одновременно, за одно исследование, 64 МСКТ позволяет неинвазивно диагностировать различные аномалии развития сердца и близлежащих сосудов, включая клапанную патологию [10,15,26]. В данной ситуации метод используется для более точной анатомической диагностики, необходимой для дальнейшего лечения, а так же позволяет одним исследованием заменить проведение множества других. К примеру, у пациента с дегенеративным стенозом аортального клапана, аневризмой начального отдела аорты перед планируемым протезированием клапана и начального отдела аорты необходимо оценить коронарный резерв, для возможного дальнейшего одномоментного выполнения протезирования с АКШ. 64МСКТ заменит диагностическую КАГ, ААГ и ЭХОКГ, что значительно ускорит время обследования больного, не снижая при этом диагностической ценности.
![]() |
| Рис.17. Аномалия развития коронарных артерий. ЛКА берет начало от ПКА (стрелка). |
Скорость и достоверность исследования важны во многих клинических ситуациях, например, описана возможность диагностики разрыва аневризмы синуса Вальсальвы при остром инфаркте миокарда с помощью 64 МСКТ, интересно, что в представленном случае разрыв не был определен при проведении ЭХОКГ [51]. Быстрая и точная диагностика при применении 64 МСКТ укажет врачу в выборе соответствующей тактики лечения, не теряя драгоценного времени.
С помощью МСКТ описана возможность визуализации бикуспидального аортального клапана (рис № 20,21), выявление вегетаций на аортальном клапане при инфекционном эндокардите [43] (рис № 24).
![]() |
| Рис.18-19. МСКТ. Артальный клапан (слева), митральный и аортальный клапаны (справа). Норма. |
Известно, что пациенты с бикуспидальным аортальным клапаном имеют высокий риск развития аневризмы восходящего отдела аорты и ее диссекции, поэтому у таких пациентов важна точная диагностика поражения, для проведения своевременной хирургической коррекции данной патологии.
![]() |
| Рис.20-21. Слева - бикуспидальный аортальный клапан (стрелка). Справа-кальцинированный бикуспидальный аортальный клапан (стрелка). |
![]() |
| Рис.22-23. Кальциноз аортального клапана (стрелка). Справа протез аортального клапана. |
![]() |
| Рис.24. Инфекционный эндокардит. Вегетации на аортальном клапане (стрелка). |
С учетом высокой визуальной способности метода, МСКТ можно широко использовать у больных с различными нарушениями ритма сердца [2,27,54]. Особенно при:
1. Подозрении на аритмогенную дисплазию правого желудочка, для изучения структур правого желудочка (рис № 25).
![]() |
| Рис.25. МСКТ сердца. Визуализируется увеличенный правый желудочек (стрелка). |
2. Изучении состояния полостей сердца у больных с пароксизмальной формой фибрилляцией предсердий, или другими нарушениями ритма.
3. Исследовании перед и после радиочастотной абляции для оценки возможных изменений легочных вен и анатомии сердца [65] (рис. № 26,27).
4. Идентификации тромба в ушке левого предсердия. У пациентов с пароксизмальными формами фибрилляции предсердий, для решения о дальнейшей тактике лечения необходимо уточнить наличие тромба в ушке левого предсердия. Обычный способ диагностики - чрезпищеводная ЭХОКГ. Альтернатива чрезпищеводной ЭХОКГ - это проведение более комфортной МСКТ.
![]() |
| Рис.26. Добавочная правая легочная вена (стрелка) выявленная при МСКТ(A) и трансторакальной ЭХОКГ(B). Общее устье (двойная стрелка) левой легочной вены выявленное при МСКТ (C) и трансторакальной ЭХОКГ (D). |
![]() |
| Рис.27. 64-МСКТ устьев легочных вен. |
![]() |
| Рис.28. МСКТ сердца, миксома левого предсердия (стрелка) |
Другое направление для проведение 64 МСКТ - это диагностика новообразований сердца, инфильтрации миокарда при амилоидозе, саркоидозе [31,53] (рис № 28). МСКТ за считанные минуты позволит с высокой степенью достоверности уточнить локализацию поражения сердца, а также даст дополнительную возможность изучить состояние кровообращения в венечных артериях сердца, провести оценку перикардиальных структур, клапанов.
Экссудативный или рестриктивный перикардит или подозрение на заболевания перикарда, в том числе при воспалительных поражениях миокарда - тоже находятся в области применения 64 МСКТ [2] (рис№ 29,30).
![]() |
| Рис.29-30. Экссудативный перикардит, выпот (стрелки). |
VI. Легочные сосуды.
МСКТ позволяет визуализировать помимо сердца и другие системы организма, поэтому дополнительная визуализация легочной артерии, легких (рис.№40) позволяет диагностировать тромбоэмболию легочной артерии (ТЭЛА) [19,52]. Высокая скорость исследования, достоверность получаемых данных при 64 МСКТ, позволит врачу во время начать необходимую терапию.
![]() |
| Рис.31. МСКТ визуализация сердца, легких, легочных вен и артерий. |
Методика проведения исследования
МСКТ ангиография основана на технике сканирования в течение артериальной фазы во время быстрого пассажа контрастного вещества.
Специальной подготовки пациента к исследованию не требуется. Выполняется МСКТ в амбулаторном порядке. Больной находится в положении лежа на спине. После предварительного сканирования, необходимого для точного определения расположения интересующих органов в обследуемой области, внутривенно болюсом вводится контрастное йодсодержащее вещество, затем с небольшой задержкой начинается сканирование под контролем ЭКГ в течение чуть более 10 секунд, в дальнейшем полученные данные обрабатывает компьютер. Полное время исследования пациента занимает около 15-20 минут. Окончательные данные в дальнейшем доступны для анализа и построения 4-х мерных изображений.
Развитию метода способствовали:
1. высокая диагностическая ценность,
2. относительная простота выполнения,
5. скорость получения информации,
4. удобство для пациента (отсутствие необходимости в премедикации, в предварительной сдаче анализов и т.д.),
5. а также то, что МСКТ является первой неинвазивной техникой визуализации коронарных артерий, не требующей госпитализации, без риска интра - и послеопрерационных осложнений.
![]() |
| Рис.32. Методика проведения исследования |
Сравнение с другими методами визуализации
В настоящее время в медицинской практике для визуализации сердца и сосудистого русла используются:
1. ультразвук (ЭХО - Допплер, внутрисосудистое исследование),
2. магнитно-резонансная томография (МРТ),
3. инвазивная ААГ -и КАГ,
4. сцинтиграфия миокарда,
5. компьютерная томография.
Как известно, инвазивная ААГ и КАГ являются "золотым стандартом" в диагностике поражений артерий, поэтому с появлением МСКТ коронарных артерий, перед исследователями была поставлена задача – сравнить получаемые результаты с данными инвазивными методами визуализации [2,5,20,47,48].
Большое число исследований, посвященных данному вопросу, показали, что 64 мультиспиральная КТ коронарных артерий при диагностике гемодинамически значимого стенотического поражения (стеноз >=50%) имеет в сравнении с КАГ: чувствительность 94%-100%, специфичность 95%- 97%, положительную предсказательную ценность 87%-97%, отрицательную предсказательную ценность 99%-100% [3,20,23,30,35,47,48]. Приведенные результаты подтвердили идентичность получаемых результатов МСКТ и КАГ в диагностике атеросклероза венечных артерий (рис. №5,42).
Следующим "золотым" стандартом, но уже в диагностике глобальной и региональной функции левого желудочка, является МРТ. Проведенные исследования по прямому сравнению высокоразрешающей МРТ с 64-МСКТ, показали статистическое соответствие полученных данных по изучению состояния сердца у больных с перенесенным инфарктом миокарда [13]. В этой работе Baks T et al. показали, что 64 МСКТ достоверно определяет площадь зоны некроза миокарда в сравнении с 1,5 Т МРТ.
![]() |
| Рис.33. Прямое сравнение результатов селективной КАГ и 64- МСКТ. Справа: стеноз среднего сегмента ПКА (стрелки), слева: стеноз проксимального сегмента ПМЖА (большие стрелки), в области поражения - визуализируются включения кальция. |
Наиболее частым методом диагностики ИБС является проведение тестов с физической нагрузкой. Прямое сравнение Dewey M. et al.(2006) у 80 пациентов теста толерантности к физической нагрузке с 16 МСКТ показало значительное преимущество последней методики в выявлении коронарной болезни сердца: чувствительность составила 73% против 91%, специфичность 31% против 83% (р=0,039) (КАГ завершала исследование, с целью точной верификации ИБС) [67]. Резюмируя выше изложенное, отметим, что даже 16 МСКТ имеет более высокую диагностическую ценность, чем нагрузочные пробы для регистрации поражений коронарных артерий.
Непосредственное сравнение 16-ти спиральной КТ коронарных артерий с КАГ показало что, чувствительность, специфичность, положительная и отрицательная предсказательная ценности составили- 85-89%, 98%, 90-91%, 96-98% соответственно [36,37,38,41], c доказано большим процентом артефактов движения, чем у 64 МСКТ [22]. Эти данные указали на меньшую диагностическую возможность 16-ти спиральной КТ, чем у 64- МСКТ [6,22,32]. Garcia M.J. c соавторами (2006) после изучения 187 пациентов с высоким коронарным КИ (более 600), отметили, что чувствительность 16-ти спиральной КТ была в диапазоне от 89% до 94%, а специфичность составляла от 51% до 67%. В заключении авторы указывают, что 16-ти спиральной КТ не является альтернативой диагностической коронарографии, в виду большого числа не диагностированных случаев поражения [60].
Сопоставление 2-х методик: вентрикулографии и 64 МСКТ, используемых для изучения глобальной функции левого желудочка, показало статистическую идентичность полученных данных [21].
Проведенное сравнение 64 МСКТ и внутрисосудистого УЗИ при стенозе внутренней сонной артерии, показало достоверное превосходство МСКТ в верификации характера атеросклеротической бляшки[58].
Таким образом, современная 64 МСКТ не уступает инвазивным методам, которые являются "золотым стандартом": КАГ и ААГ в диагностике заболеваний периферических и коронарных артерий, имея перед селективной КАГ имеет ряд преимуществ:
1. в относительной простоте выполнения диагностической процедуры,
2. отсутствии возможных интра- и после операционных осложнений,
3. скорости проведения исследования и получения информации,
4. отсутствием необходимости в госпитализации,
5. проведении премедикации, что, в конечном счете, определяет удобство для пациента.
Помимо выше представленных преимуществ перед КАГ, МСКТ дает дополнительную характеристику атеросклеротической бляшки (выявление "мягких" бляшек, степени кальциноза и т. д.) [2], определяет систолическую функцию сердца (по показателям диастолического и систолического объемов левого и правого желудочка, проводится точный подсчет фракции выброса), выявляет зоны дискинезии миокарда левого желудочка (при построении 4-хмерного объемного изображения), с дополнительной оценкой анатомии сердца и сосудов. И что немаловажно для прогноза, за МСКТ сохраняется возможность определять перфузионную способность и оценивать жизнеспособность миокарда [2,13,24,45,50], это особенно важно для пациентов с перенесенным инфарктом миокарда и больных с сердечной недостаточностью.
Проведенное сравнение Khare K.R.(2006) двух методик - стресс ЭХОКГ с 64 МСКТ показало более высокую эффективность последней в диагностике причин болей в грудной клетке [49].
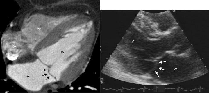
Gerber T.C с соавт (2005г) отметили идентичность диагностических данных при использовании трансторакальной ЭХОКГ и 16 МСКТ в регистрации пролапса задней створки митрального клапана [61] (рис. № 43), Alkadhi H. с соавт. (2006) [62] и Gudrun M. с соавт. (2006) [63] для изучения стеноза аортального клапана. Авторы отмечают 100% чувствительность и 97,3% специфичность МСКТ в диагностике заболеваний клапанного аппарата сердца.
![]() |
| Рис.34. МСКТ сердца по длинной оси (рис. слева) и ЭХОКГ по длинной оси в парастернальной позиции (рис справа). LA-левое предсердие; LV-левый желудочек; RA-правое предсердие; RV-правый желудочек. Пролапс задней створки митрального клапана (стрелки). |
Messika-Zeitoun D. и др.(2006) при сравнении возможностей трансторакальной ЭХОКГ и 16 МСКТ в изучении площади митрального клапана при митральном стенозе указали на более точное измерение и анатомо-визуальное превосходство МСКТ перед ЭХОКГ, и предложили использовать данное исследование у пациентов с плохим ультразвуковым окном или перед протезированием пораженных клапанов [64].
![]() |
| Рис.35. МСКТ с контрастированием (белый и черный цвета реверсированы для сходства с ЭХОКГ). После адекватной ориентации по длинной оси в 2 камерную позицию (A) в четырех камерную (B) срез через митральный клапан (C) измерение площади раскрытия митрального клапана (D). |
Сходные данные представлены Gilard M. et al (206) [59], предложившие всем пациентам перед протезирование аортального клапана проводить МСКТ, позволяющую одновременно изучить коронарный резерв сердца и анатомическую характеристика аортального клапана.
Monique R.M. et al. (2005) опубликовали результаты прямого сравнения трансторакальной ЭХОКГ и МСКТ у 42 пациентов перед абляцией устьев легочных вен: измеренный диаметр устьев легочных вен был сопоставим, но при МСКТ отмечена выше частота выявления добавочных ветвей легочных артерий [65].
![]() |
| Рис.36. Измерения левой нижней легочной вены (LIPV) при МСКТ (слева) и при трансторакальной ЭХОКГ (справа). LA-левое предсердие. LSPV –левая верхняя легочная вена. |
Таким образом, МСКТ не уступает ультразвуковому исследованию сердца в изучении поражений клапанов и структур сердца, имея при этом значительное превосходство в качестве изображения плюс возможность одновременного обследования коронарных артерий, с характерологической оценкой атеросклеротической бляшки и возможностью выявления перфузионных нарушений миокарда.
Возможности 16 МСКТ в диагностике интракраниальных аневризм показаны Wintermark M. с соавт. При сопоставлении с ААГ оказалось, что чувствительность, специфичность, точность результатов 16 МСКТ составили 94,8%, 95,2% и 94,9% соответственно [74].
Fraioli F. c соавт. (2006) при обследовании 50 пациентов со стенозом почечных артерий, подтвержденным ААГ, отметили высокую чувствительность, специфичность, точность, положительную и отрицательную предсказательную ценность МСКТ (100%, 98,6%, 96,9% ,98.2% и 97.8% соответственно)[73]. Авторы исследования рекомендуют более широкое использование МСКТ для диагностики данной патологии.
Ряд исследователей сравнили эффективность 16 МСКТ с инвазивной ААГ при обследовании стенозирующего атеросклероза сосудов нижних конечностей [69,70,71,72]. Bui T.D. et al. (2006) отметили, что для всех сегментов чувствительность, специфичность составили: при стенозе <50%- 86 и90%, для 50-99%- 79% и 89%, для окклюзий -85% и 98% соответственно [69]. Xiao-dan Zhang et al (2006) при оценке сегментов с стенозом >50%, указали, что чувствительность составила -94.3%, специфичность-98.4%, положительная предсказательная ценность-92.7%, отрицательная предсказательная ценность 98.7%[70]. Таким образом ученые доказали сопоставимость результатов 16МСКТ с ААГ в диагностике поражений периферических артерий [69,70,71,72], отметив значительно меньшее затраченное время для проведения исследования: 2.5 +/- 0.3 минут при 16 МСКТ против 37.5 +/- 5.2 у ААГ, p = 0.006[71].
Результаты сопоставления диагностических возможностей 64-МСКТ и других методов исследования представлены в таблице №1 [2]:
Как видно из представленной таблицы, 64-МСКТ включает в себя все возможности других методов визуализации, являясь в настоящее время наиболее универсальным способом диагностики, сохраняя при этом высокую безопасность, информативность и удобство для пациента
Ограничения к использованию МСКТ
В тоже время МСКТ так же имеет некоторые ограничения в использовании, сходные с КАГ и ААГ. Существуют следующие противопоказания [3,17]:
Абсолютные:
1. тяжелая и средней тяжести аллергическая реакция на йод.
Относительные:
2. почечная недостаточность тяжелой степени (креатинин плазмы крови >1,5 мкмоль/л).
3. беременность,
2. тяжелое клиническое состояние пациента, в том числе тяжелая ХСН,
5. невозможность пациентом принять положение лежа на спине,
6. невозможность пациентом выполнить задержку дыхания до 15 сек.,
7. выраженное ожирение, масса тела более 130 кг.,
8. множественная миелома,
9. не компенсированный гипертиреоидизм,
10. феохромоцитома,
11. постоянная форма фибрилляции предсердий,
12. наличие в анамнезе тромбоэмболии.
Обсуждение
64-МСКТ сосудов и сердца - это новые революционные возможности для врачей интервенционной медицины, кардиологов, неврологов и ангиологов, позволяющие неинвазивно, без госпитализации, в считанные минуты получать изображения сосудов любой локализации диаметром от 0,1 до 0,3мм [43], с максимальным комфортом для пациента.
Помимо анатомо-топографической точности, 64-спиральная КТ дополнительно оценивает функциональные способности миокарда, что поможет врачу в выборе тактики лечения и определения прогноза заболевания.
В настоящее время, с появлением 64 МСКТ снизится необходимость в проведении диагностических КАГ и ААГ для изучения состояния коронарных и периферических артерий, это значительно уменьшит количество проводимых инвазивных исследований.
64 МСКТ расширяет диагностические возможности для врачей всех специальностей, так как не секрет, что многие специалисты не направляют пациентов на инвазивные обследования, опасаясь осложнений и дискомфорта, связанных с выполнением интраваскулярных манипуляций. Пациенты, у которых проведение стресс-тестов невозможно или получены сомнительные результаты, применение 64-МСКТ позволит точно диагностировать поражение венечных артерий сердца, что позволит исключить массу кардиалгий, скрывающихся под маской ишемической болезни [67]. В то же время, выявленное атеросклеротическое поражение сердечно-сосудистой системы, позволит более эффективно проводить консервативное, и, при необходимости, хирургическое лечение (ангиопластика и АКШ).
Современная 64 мульти-спиральная компьютерная томография не уступает инвазивным методам (КАГ и ААГ) в диагностике заболеваний периферических и коронарных артерий, имея при этом ряд неоспоримых преимуществ, таких как:
1. неинвазивность
2. отсутствие необходимости в госпитализации
3. возможность анатомо-функциональной оценки
4. скорость в получении визуальной информации
5. удобство для пациента
Новейший метод визуализации сосудистого русла, не отрицает использование проверенных временем инвазивных методов, которые составляют "золотой стандарт" диагностики, а является достойной им альтернативой. 64 МСКТ - это новый помощник для врача-клинициста, включающий в себя возможности других методов диагностики: УЗИ, МРТ и ангиографии.
Помимо изучения сердечно-сосудистой системы, 64 МСКТ позволяет детально обследовать и другие системы организма с возможностью реконструкции полых органов, то есть проведение виртуальной бесконтактной колоно- или бронхоскопии. Но, в сравнении с менее скоростными 16-ти или 32-ти МСКТ, значительного превосходства при этом не отмечено.
Дальнейшее развитие инновационных технологий приведет к созданию 128- и 256-МСКТ, которые будут иметь еще более высокую степень диагностической ценности [4], но с возрастанием количества спиралей значительно увеличивается лучевая нагрузка на исследуемого.




























