Пациент А, 1939 г.р. (68 лет).
- Атеросклероз.
- Стенозы бедренных артерий с обеих сторон.
- Окклюзия артерий обеих голеней.
- Ишемия правой нижней конечности 4 степени.
- Некроз правой стопы.
- Диабетическая полинейроангиопатия.
![]() |
Операция
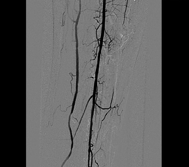
Реканализация МБА коронарным проводником, балонная дилатация баллоном Sleek
![]() |
B зону остаточного стеноза в средней трети МБА установлен стент Cypher
![]() |


