Пациентка К, 1952 г.р. (55 лет).
- Атеросклероз.
- Сахарный диабет.
- Окклюзия артерий левой голени.
- Ишемия левой нижней конечности 4 степени.
- Длительно не заживающая рана левой стопы.
![]() |
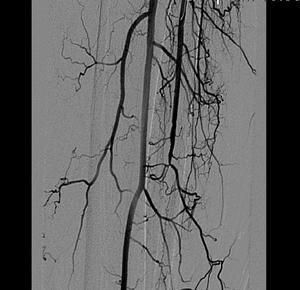
Операция
Реканализация ПББА на всем протяжении гидрофильным проводником, баллонная ангиопластика ПББА Sleek - баллоном на всем протяжении.
![]() |
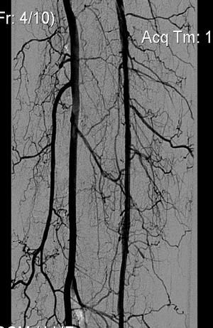
Контроль через месяц - ПББА проходима с участком короткой окклюзии, проведено повторно ЧБА коротким коронарным баллоном и стентирование стентом Cypher.
![]() |


