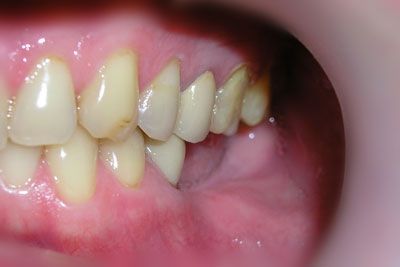
На прием к стоматологу-ортопеду пришел пациент с жалобой на отсутствие нижних коренных зубов и неудобство пережевывать пищу. При осмотре выяснилось, что отсутствующие нижние моляры (36 и 37 зубы - по международной классификации) удалены два года тому назад.
![]() | ![]() |
От протезирования с помощью мостовидной конструкции (в этом случае обтачиваются соседние здоровые зубы и на них ставятся опорные коронки) он отказался. Для выполнения надежной мостовидной конструкции нам пришлось бы обточить три зуба 34, 35 и 38, два из которых еще и депульпировать. С предложением установить два винтовых имплантата и последующем изготовлением металлокерамических коронок пациент согласился. Под местной анестезией была произведена установка двух винтовых имплантатов Astra Tech с одномоментной постановкой формирователей десны.
![]() |
Через четыре месяца было выполнено протезирование, изготовлено две коронки на имплантаты и одиночная коронка на 35 зуб. Функция жевания восстановлена полностью.
![]() | ![]() |
Эту работу выполнили: хирург-имплантолог Кики Ф.Р., зубной техник Крапухин Н.Н. и стоматолог-ортопед, зав.отд.стоматологии Васин Ю.А.




