Трудности с пережевыванием пищи из-за потери большого количества зубов заставили пациента обратиться за стоматологической помощью в нашу клинику. Из опроса стало ясно, что основной причиной, столь ярко выраженного пародонтита, могло стать поражение токами сверхвысокой частоты, полученное во время службы в армии. Временная утрата зрения (более трех месяцев ), сильная кровоточивость десен, головные боли и ухудшение общего самочувствия - вот напоминания о том страшном инциденте, приведшим к потере здоровья.

Вот такую картину состояния зубочелюстной системы мы увидели на рентгеновском снимке (ортопантомограмме): обнажение корневой части зубов от 30 до 60 процентов, уменьшение объема кости, как на верхней так и на нижней челюстях.

Протезирование с применением имплантации здесь не показано. От пользования полными съемными протезами пациент отказался по причине довольно молодого возраста. Остановились на частично-съемном, в данной ситуации, бюгельном технически-сложном протезировании.

Зеленым цветом отмечены зубы, оставшиеся после хирургического и терапевтического лечения. Эти зубы, в различной степени, мы использовали для протезирования. Все остальные удалили.

Пациенту было объяснено, что задние зубы из-за сильной атрофии костной ткани, к сожалению, долго не прослужат, но задачу свою – привыкание к съемному протезу и распределение нагрузки - выполнят.

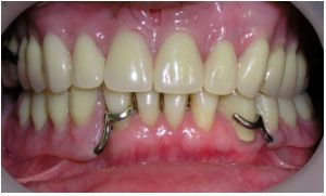
На нижнюю челюсть был изготовлен бюгельный протез на кламерах с выраженной металлической язычной частью. На верхнюю челюсть бюгельный протез был изготовлен с литой небной частью и с использованием скрытых удерживающих замков. У клыков были срезаны коронковые части зубов и в место них установлены корневые культевые вкладки с замковыми элементами. Благодаря этому жевательная нагрузка равномерно распределяется и воздействие на оставшиеся опорные зубы минимально, так как основная нагрузка приходится на слизистую альвеолярного отростка верхней челюсти.

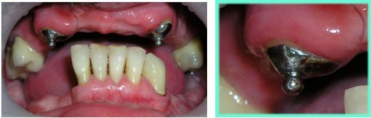
На этих снимках показана ответная часть вкладки – микрозамка.
Вкладка крепится на специальный цемент и является опорно-удерживающим элементом бюгельной конструкции.

Вид нижнего и верхнего бюгельных протезов

Окончательный вид протеза