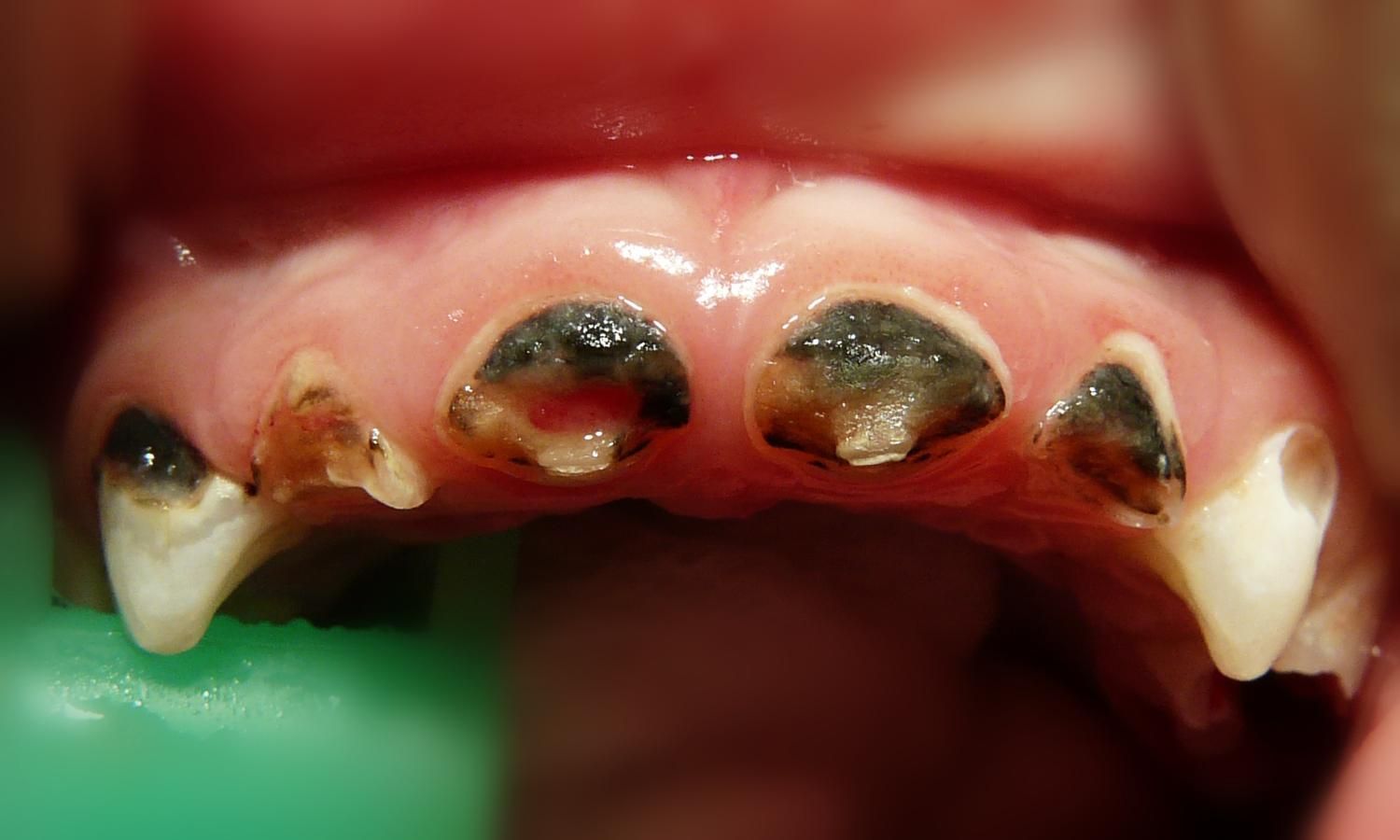
Родители мальчика Н. (4 года) обратились с жалобами на наличие множественных кариозных полостей, разрушенные коронковые части передних зубов, а также на боли от химических и температурных раздражителей. При осмотре и опросе выяснилось, что ребенок давно страдает зубной болью, а лечится из-за, однажды, причиненной боли в стоматологическом кресле, категорически отказывается. Страшно напуган.

Был поставлен следующий диагноз: средний кариес, почти, у всех зубов, а у пяти верхних передних зубов — хронический фиброзный пульпит. До смены прикуса, то есть до замены молочных зубов постоянными еще далеко и удаление в столь раннем возрасте может привести к неправильному развитию зубных рядов и, в дальнейшем, к патологическому развитию всей зубочелюстной системы.

Из-за панического страха пациента и большого объема стоматологического вмешательства было принято решение провести лечение с использованием эндотрахеального наркоза.

Общий наркоз был проведен с использованием внутривенного анестетика Пропафол (Propafol) и ингаляционного анестетика Севофлюран ( Sevoflurane ).

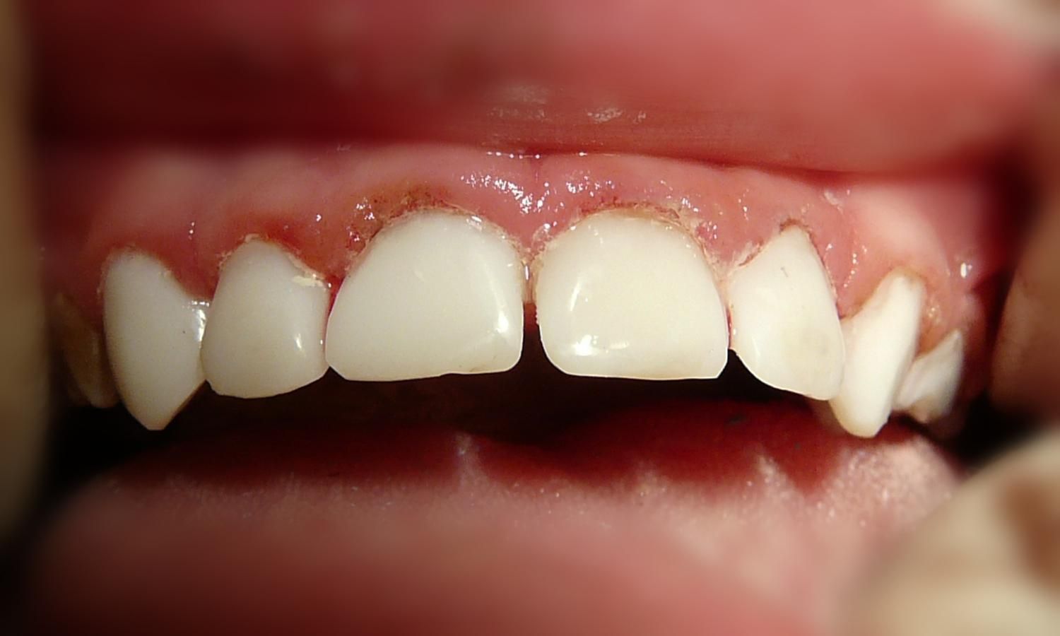
В течении трех с половиной часов было вылечено 14 зубов. Из них у шести зубов было проведено эндодонтическое лечение с последующим реконструированием коронковой части композитом светового отверждения VI поколения Estelite, остальные запломбированы с восстановлением одной или двух поверхностей зуба.

Детская стоматология ЦЭЛТ

Детская стоматология ЦЭЛТ

 

Лечение проводила детский врач-стоматолог Савинкина Людмила Викторовна, эндотрахеальный наркоз и последующее наблюдение выполняла бригада анестезиологов центра.

Ребенку рекомендовано раз в четыре месяца проходить профилактические осмотры.