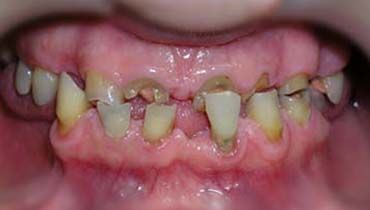
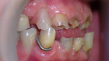
Осмотр выявил: - очень сильную стертость верхних и нижних зубов, снижение высоты прикуса и изменение его из нормального в обратный (нижние зубы при смыкании находились впереди верхних).
![]() |
На телерентгенограмме височно-нижнечелюстного сустава определялся двухсторонний подвывих нижней челюсти.
![]() |
После осмотра и рентгенологического обследования зубочелюстной системы был предложен следующий план лечения:
1. Постепенное поднятие высоты прикуса;
2. Эндодонтическое лечение и подготовка оставшихся зубов к использованию в протезировании;
3. Изготовление корневых вкладок (для создания коронковой части опорных зубов);
4. Переведение достигнутого центрального соотношения челюстей в центральную окклюзию (т.е. протезирование несъемными (металлокерамическими коронками) и частично-съемными (бюгельными)) протезами.
Пациент был предупрежден о длительности лечения – не менее одного года.
После расчета и моделирования ситуации на диагностических моделях и с согласия пациента приступили к выполнению составленного плана лечения.
1. Сначала были изготовлены на верхнюю и нижнюю челюсти два пластинчатых протеза с небольшим повышением прикуса. Появилось равномерное смыкание задних зубов, результатом чего стало возможно пережевывать пищу.
![]() |
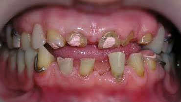
2. Была проведена эндодонтическая подготовка зубов, все корневые каналы были вылечены, запломбированы и прикрыты временными пломбами.
3. Каждые два месяца под контролем телерентгенограммы височно-нижнечелюстного сустава высота прикуса на пластичных протезах увеличилась посредством перебазировки. Разобщение верхнего и нижнего зубных рядов становилось больше.
![]() |
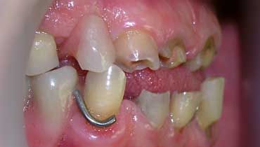
4. После появления необходимой высоты в передние зубы были изготовлены пластмассовые корневые вкладки и на них выполнены временные коронки.
![]() |
Изготовление металлических вкладок было преждевременно, так как можно ошибиться с размером и наклоном в переднезаднем направлении. С появлением временных пластмассовых коронок пациент стал улыбаться, смог не только пережевывать, но и откусывать передними зубами пищу. Так как изменение высоты прикуса происходило постепенно, пациент быстро и благополучно привыкал к создавшемуся положению и явлений дискомфорта не испытывал.
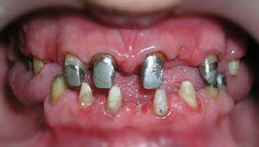
Когда необходимая высота прикуса была достигнута, были изготовлены металлические корневые вкладки.
![]() |
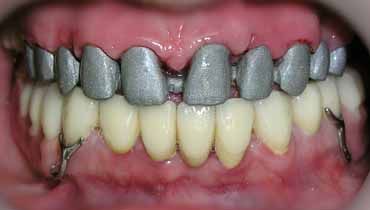
Далее были изготовлены бюгельные металлические протезы на кламерах с использованием металлокерамических коронок в виде опорных зубов.
![]() |
После фиксации металлокерамических коронок на постоянный цемент, коррекции и установки бюгельных протезов на кламерах, пациент получил рекомендации по уходу за зубными протезами и проведению личной гигиены полости рта. План лечения был выполнен. Рекомендовано профилактическое посещение стоматолога каждые четыре месяца.
![]() |
От начала лечения
![]() |
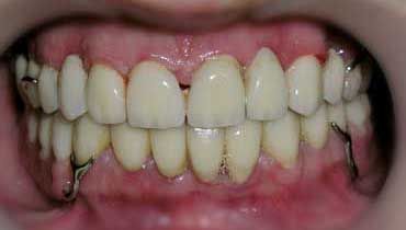
и до его завершения
![]() |
ушло один год и два месяца, но это того стоило!









