Радикальным лечением ишемической болезни сердца считается операция коронарного шунтирования (КШ). Операция связана с большой операционной травмой (наркоз, вскрытие грудной клетки, искусственное кровообращение, послеоперационное реанимационное пособие) и длительным периодом реабилитации.
Кардиологическая команда нашей клиники может предложить полноценную альтернативу хирургическому вмешательству - малоинвазивное лечение - стентирование - без наркоза, без вскрытия грудной клетки, через маленькие проколы на кисти руки. Пациенты на следующий день ходит, через сутки выписывается домой.
Наглядный пример такой альтернативной операции недавно был выполнен в нашем центре.
Пациентке 83 года, у нее выраженный атеросклероз артерий сердца, и что важно, одна из главных артерии сердца была полностью закупорена. В таких случаях, как правило, предлагают аорто-коронарное шунтирование (хирургическая операция по созданию шунтов в обход закупоренного участка). Однако, возраст и сопутствующие заболевания пациентки предельно повышали риск открытой операции. Несмотря на адекватное медикаментозное лечение у больной оставалась тяжелая стенокардия, приступы не позволяли выполнять тот небольшой объем движений, который необходим для ухода за собой.
Illegal mix of collations (utf8mb3_uca1400_ai_ci,IMPLICIT) and (utf8mb3_general_ci,IMPLICIT) for operation '='Наши кардиохирурги успешно выполнили малотравматичную операцию стентирования, без какой-либо операционной травмы, наркоза и реанимационного пособия. Предварительно открыв закупоренный участок, восстановили кровоток к мышце сердца, применяя уникальные технологии и инструменты.
Состояние артерий сердца до и после такого малоинвазивного вмешательства наглядно показаны на рисунках. В итоге получилось ПОЛНОЦЕННАЯ ЗАМЕНА АОРТО-КОРОНАРНОГО ШУНТИРОВАНИЯ. Пациентка на 3-е сутки после такого лечения была благополучно выписана и отправилась домой, избежав большой травматичной хирургической операции !!!

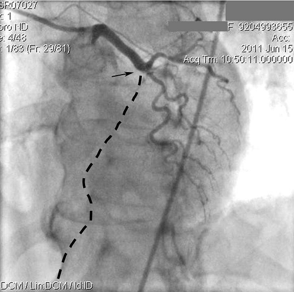
Вот так выглядели артерий сердца после диагностического исследования. Обратите внимание на закупорку главной артерии сердца прямо от начала (показана стрелкой). Ход этой артерии должен быть таким, как показывает пунктирная линия, однако, ее не видно, поскольку из-за закупорки кровь туда не поступает.

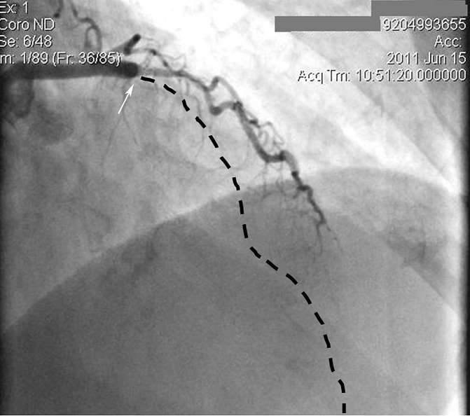
А это изображение тех же артерий, но их вид дается с другим углом зрения. Обратите внимание, какой большой участок артерии (пунктирная линия) выключен из кровотока.

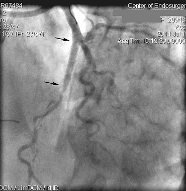
А вот как выглядят артерий сердца пациентки, которой предлагали операцию аорто-коронарного шунтирования. Вместо обходного кровотока, мы окрыли артерию, кровоток восстановлен естественным путем, т.е. как было до закупорки. Мы не вставили обходной шунт, а реконструировали собственный поврежденный сосуд сердца. Как видим на месте установки стента (протеза) просвет артерии выглядит прекрасно (показывают стрелки) и артерия уже видна на всем протяжении, т.е. кровоток осуществляется в полной мере, как и до закупорки.

Этот рисунок также показывает результат выполненного малоинвазивного лечения, но с другим углом зрения. Ранее закупоренная артерия полноценно заполняется кровью и снабжает участки сердца, которые ранее страдали от неполноценного кровоснабжения.

ИТАК, Сравните еще раз.

И с другим углом зрения.
Таким образом, пожилая пациентка смогла полноценно вылечиться без рискованной операции, и буквально 3 дня спустя продолжает жизнь в обычном режиме под наблюдением кардиологов нашего центра.
Специалисты нашего Центра готовы при аналогичных ситуациях и при желании пациента избежать травматичную операцию аорто-коронарного шунтирования, проконсультировать Вас по телефону: (495) 305 3404 или (495) 788 33 88
(495) 305 3404 или (495) 788 33 88
Бабунашвили Автандил Михайлович
Карташов Дмитрий Сергеевич
Дундуа Давид Петрович
Вы можете также получить консультацию у наших специалистов на сайте и прислать нам данные диагностической коронарографии, если Вам уже предварительно выполнили такое исследование.