Красивая улыбка – залог успеха!

Благодаря неустанному труду стоматологов всей нашей страны и постоянно мелькающим рекламным роликам на телевидении, ценность здоровых зубов, к счастью, стала понятна и нашим людям. Оставив в далеком прошлом панический страх перед кабинетом зубного врача, мы все больше и больше внимания уделяем своим зубам. Требования возросли как к качеству проводимого лечения и отсутствию болевых ощущений при этом, так и к улучшению эстетической составляющей результата: формы, цвета и естественности зубов. Многие пациенты жалуются на темный цвет зубов, пигменты и пятна на эмали, не поддающиеся удалению с помощью зубной пасты и щетки. Покрывать зубы коронками или композитными и керамическими облицовками – винирами – нецелесообразно, так как при этом необходимо снять слой эмали, то есть обточить зуб. Для решения проблемы отбеливания зубов существуют различные методики, с которыми мы хотим вас познакомить.
Различают метод механической очистки, к которому относится профессиональная гигиена полости рта и метод химического отбеливания, основанный на протекании окислительных процессов, которые возникают в результате воздействия атомарного кислорода на естественные ткани зубов.
Профессиональная гигиена полости рта


На снимках мы видим очищенные от налета и отполированные зубы, которым с помощью механической очистки вернули их природный цвет, однако изменить цвет эмали, сделать его светлее на несколько тонов, в чем, собственно говоря, и заключается отбеливание зубов, этим методом невозможно. AirFlow или аналогичные по способу воздействия системы используют при подготовке к отбеливанию – с их помощью удаляют зубные отложения, камни и твердый налет, иначе "отбеливатель" просто не проникнет сквозь них.
Что такое отбеливание?
Мы же расскажем об отбеливании - химическом процессе окисления, в результате которого под действием кислорода происходит расщепление органических
веществ до углекислого газа и воды.
В ходе окисления органические субстанции окисляются до промежуточных продуктов, которые светлее исходных. В процессе этой реакции окисляющее
(вещество H2O2 - перекись водорода), имеющее свободный радикал с неполярным электроном, отдает его окисляемому веществу. Субстанция, подвергаемая
отбеливанию, принимает неполярный электрон и таким образом окисляется. Низкий или высокий процент сильных свободных радикалов зависит от кислотной или
щелочной среды, в которой происходит процесс ионизации.
Еще в середине второй половины 19 века были опубликованы статьи об осветлении зубов под действием перекиси водорода. В настоящее время в современных
отбеливающих системах применяется перекись карбамида, хлориды, перекись мочевины и перекись водорода, одним из продуктов разложения которых является
атомарный кислород.
Интенсивность окраски зубов определяется количеством парных соединений C=C. Окисление приводит к образованию более простого, одинарного соединения
углерода, что и обеспечивает уменьшение пигментации, т.е. осветление зубов.
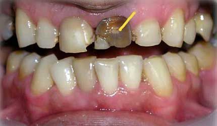
Отбеливание не действует на поверхность пломб и искусственных коронок, поэтому по окончании его проведения могут проявиться цветовые различия, для
устранения которых показана замена пломб или коронок, покрывающих зубы.
Отчего зубы меняют цвет?

- преобладание в пище продуктов, обладающих сильно красящим действием: кофе, крепкого чая, кока/пепси-колы, черники, ежевики, красного вина, соевого соуса (окрашивание зуба от светло-коричневого до черного);
- курение табака. Никотин и большое содержание различных смол (даже в самых легких сигаретах) вызывают окрашивание эмали от желто-коричневого до черных оттенков;
- медикаментозное влияние лекарственных препаратов в период формирования зубов. (антибиотики, особенно тетрациклинового ряда);
- химическое влияние (повышенное содержание фтора в питьевой воде приводит к заболеванию под названием флюороз);

- генетическая предрасположенность (наследственный фактор и системные заболевания, перенесенные в раннем возрасте);
- некорректное стоматологическое вмешательство и осложнения;

Все вышеперечисленные причины, вызывающие изменение цвета зубов, являются показаниями к отбеливанию.
Красивая улыбка – залог успеха!
Современные методы отбеливания можно разделить на:
- домашнее отбеливание (концентрация препарата от 9% до 20%);
- офисное отбеливание (отбеливание в стоматологическом кабинете - концентрация препарата 30-45%);
- энергетическое отбеливание (использование различных источников тепловой и световой энергии: лампы, фотополимеризующие лазеры);
- комбинированный метод отбеливания, при котором используется перекись карбамида в концентрации 34-44%.
«Наводим красоту» в домашних условиях
В качестве домашних методов отбеливания используют индивидуальные зубные каппы для отбеливающего геля, концентрация которого варьируется в пределах
9-22% .
Несмотря на то, что домашний метод является сравнительно медленным и проводится в течение 2-6 недель (в зависимости от тяжести состояния и некоторых
особенностей структуры эмали зубов, например, при таком заболевании, как флюороз), результат практически всегда получается замечательный. Редко
изменяется чувствительность зубов, которая быстро восстанавливается по окончании процедур. Зубы, осветляясь, сохраняют естественное окрашивание всей
поверхности и не изменяют своего натурального вида. Не всегда достигается необходимый эффект только у зубов с тетрациклиновой пигментацией и другими
видами изменений цвета в глубоких тканях зубов.
Подход профессионалов

Система отбеливания зубов Opalescence имеет регистрацию Министерства Здравоохранения Российской Федерации. Гель Opalescence в своем составе имеет 20% воды, что помогает избежать гиперчувствительности или снизить ее, при этом не происходит пересыхания и обезвоживания эмали. Действующим веществом в системе Opalescence является карбамид пироксида. Отбеливающие пасты содержат различные вкусовые добавки - нейтральный, банановый, ментоловый и арбузный ароматы. Предлагаются различные концентрации карбамид пироксида (Opalescence 10%, 15%, 20%) с фтором и без фтора. 35% Opalescence X-tra с каротином предназначен для проведения отбеливания только в кресле врача.

В третье посещение оценивается достигнутый результат.

Внимание!
Пломбировочные материалы не отбеливаются. Старые пломбы необходимо заменить, так как отбеленные зубы будут гораздо светлее, но делать это надо не раньше чем через 14-15 дней. За это время весь кабамид пероксида покидает ткани зуба, и оттенок эмали стабилизируется. Затем можно переходить к реставрации зубов и подбирать оттенок композитного материала, соответствующий оттенку отбеленной эмали.

Почему зубки отбелить нельзя?
Противопоказаниями к отбеливанию зубов являются:
- наличие аллергической реакции на перекись водорода или другие составляющие препарата, применяемые при отбеливании;
- осветление поверхностных пигментных пятен, которые можно легко удалить с помощью профессиональной чистки зубов и соблюдения правильной гигиены
полости рта;
- большое количество кариозных областей, дефектные пломбы, заболевания пародонта в активной стадии, обильные зубные отложения (в этом случае сначала
необходимо пройти санацию полости рта);
- беременность или период кормления грудью;
- чрезмерно увеличенная пульпарная камера. Не рекомендуется детям и подросткам.
Красивая улыбка – залог успеха!
Улыбнитесь с нами! Врачи-стоматологи нашего Центра помогут вам надолго сделать свою улыбку сверкающей. Отделение оснащено по последнему слову техники и обладает всем необходимым для выполнения качественной работы: современным зубоврачебным комплексом, высококлассным рентгеновским оборудованием и материалами последнего поколения. Каждому пациенту гарантировано качественное лечение и индивидуальный подход в отбеливании зубов. Если после отбеливания понадобится заменить старые пломбы с дефектами на новые или вылечить кариес, все эти проблемы можно также решить в нашем стоматологическом отделении.
Помните, что красивые зубы - ваша визитная карточка в нашем современном мире!

