Что такое «эластография» и физические основы метода

Illegal mix of collations (utf8mb3_uca1400_ai_ci,IMPLICIT) and (utf8mb3_general_ci,IMPLICIT) for operation '='

Ультразвуковая эластография – это методика качественного и количественного определения механических свойств тканей организма. Несмотря на то, что появилась она уже более 20 лет назад, до сих пор даже сам термин известен людям, далеким от медицины, гораздо меньше, чем, например, УЗИ, КТ или МРТ. До недавнего времени эластография использовалась преимущественно для научных исследований, но в последнее время все более активно начинает применяться и в клинической практике.

В основе эластотографии лежит простой принцип: все ткани человека, в том числе и патологически измененные, имеют определенную эластичность (жесткость). Критерием эластичности является модуль Юнга, который определяется в процессе исследования.

Доброкачественные опухоли имеют высокую эластичность. В отличие от них, для злокачественных образований характерна низкая эластичность. Во время эластографии ультразвуковые лучи, излучаемые и воспринимаемые специальным датчиком, словно врач «ощупывают» ткани исследуемого органа, и с помощью специальной программы оценивают их эластичность (жесткость). За рубежом эластографию часто называют виртуальной пальпацией [Hall T. J. Beyond the basics: Elasticity imaging with US // Radiographics. 2003. V. 23. P. 1657 – 1671]. При стандартном УЗ-исследовании затруднительно, а иногда и невозможно отличить злокачественные опухоли от доброкачественых. После компьютерной обработки изображение передается на экран монитора, по которому врач с высокой долей вероятности может интерпретировать результаты исследования. Это открывает новые возможности для раннего выявления онкологических заболеваний и контроля процесса лечения. За рубежом эластографию часто называют виртуальной пальпацией.

Впервые этот метод исследования был предложен в 1991 году [Ophir J., Cespedes I., Ponnekanti H., Yazdi Y., Li X. Elastography: a quantitative method for imaging the elasticity of biological tissues // Ultrasonic Imaging. 1991. V.13. № 2. P. 111 – 134].

Эластография является революционным методом визуализации мягких тканей, который позволяет дифференцировать злокачественные опухоли от других образований без проведения биопсии ткани.

Области применения эластографии

Ультразвуковая эластография (или эластосонография) открывает новые возможности в совершенствовании диагностики очаговой патологии. Она позволяет определять эластичность различных структур, а это очень важно при исследовании мягких тканей, поверхностно расположенных лимфатических узлов, молочных желез и щитовидной железы.

Трудно переоценить роль эластографии и для оценки степени фиброза различных органов, т.е. разрастания соединительной ткани с появлением рубцовых изменений. В частности, данный метод исследования дает уникальную возможность диагностировать цирроз печени. И в данном случае отпадает необходимость выполнять более травматичное исследование – биопсию печени.

Итак, перечислим основные области применения эластографии в клинике ЦЭЛТ:

  1. онкологическая практика – диагностика злокачественных образований молочной железы, щитовидной железы, печени и мягких тканей;
  2. мониторинг изменений при лечении злокачественных образований;
  3. динамическое наблюдение доброкачественных образований мягких тканей;
  4. оценка наличия фиброзного изменения печеночной ткани;
  5. определение стадии фиброза и цирроза печени.

Исследование молочных желез и лимфатических узлов

Рак молочной железы занимает второе место среди онкологических заболеваний. За последнее десятилетие было проведено немало различных исследований по изучению способов диагностики рака молочных желез. Такой метод, как эластография, появился сравнительно недавно, но уже зарекомендовал себя с наилучшей стороны для подобной диагностики.

В комплексе с рентгенографией и ультразвуковой маммографией эластография позволяет не только выявить само новообразование, но с высокой точностью определить его природу. Например, дифференциальная диагностика между кистой с плотным содержимым и раковой опухолью достаточно сложна. Но определяя эластичность патологического очага, можно значительно снизить долю необоснованных пункций, а также определить долю пациентов, которые нуждаются в динамическом наблюдении и регулярном обследовании. Тот же самый принцип применим и к исследованию лимфатических узлов для выявления метастазов.

Вот основные показания к проведению эластографии при заболеваниях молочных желез:

  1. наличие пальпаторно определяемого образования в молочной железе;
  2. инструментальное выявление непальпируемого образования, не имеющего четких границ;
  3. уточнение диагноза между фиброаденомой и кистой;
  4. воспаление ткани молочной железы;
  5. оценка состояния регионарных лимфатических узлов.

Эластография уже официально включена в международную шкалу BIRADS, которая является наиболее авторитетной в мире в области диагностики образований молочных желез.

Липома молочной железыЛипома молочной железы
Рак молочной железыРак молочной железы

Исследование щитовидной железы

В эндокринологической практике главная сфера применения эластосонографии сводится к дифференциальной диагностике изменений в ткани щитовидной железы. Принципиальным моментом служит выявление отличий между коллоидной кистой, аденомой и раком. Также обозначенный метод является принципиально важным для установления такого диагноза, как тиреоидит. Ведь при этом плотность ткани органа значительно возрастает.

Эластосонография значительно повышает информативность стандартного ультразвукового обследования, позволяя уточнить характер объемного образования в щитовидной железе, позволяет доктору правильно оценить клиническую ситуацию и определить группу больных, которым действительно показана биопсия, и выделить тех, кто нуждается в регулярном обследовании для динамического наблюдения.

Показания к проведению эластографии щитовидной железы:

  1. наличие пальпаторно определяемого образования в щитовидной железе;
  2. обнаружение непальпируемого образования, не имеющего четких границ;
  3. проведение дифдиагностики между аденомой, коллоидной кистой и злокачественным новообразованием;
  4. оценка состояния регионарных лимфатических узлов.
Рак щитовидной железыРак щитовидной железы

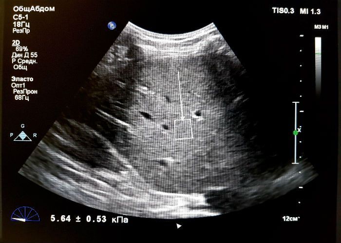
Исследование печени

Illegal mix of collations (utf8mb3_uca1400_ai_ci,IMPLICIT) and (utf8mb3_general_ci,IMPLICIT) for operation '='

При развитии такого патологического состояния, как фиброз или цирроз печени, решающую роль обычно играла пункционная биопсия. В ходе этой манипуляции чрескожным доступом с помощью тонкой иглы осуществлялся забор ткани печени, которая затем подвергалась микроскопическому исследованию. Но данный способ является дорогостоящим и может сопровождаться побочными эффектами. Кроме того, для получения морфологического результата требуется время.

Эластосонография предоставляет врачу гораздо больше потенциальных возможностей для получения достоверной информации о состоянии пораженного органа, в данном случае - печени. Причем процесс не отнимает много времени, ведь сама процедура занимает не более 15-20 минут, а результат готов сразу же после обследования. Достоверность этого метода варьируется в диапазоне 87-99%, что выводит эластрографию в разряд наиболее достоверных и чувствительных диагностических методов.

Показания к проведению эластографии печени:

  1. определение наличия фиброзного изменения печеночной ткани;
  2. определение стадии фиброза печени;
  3. проведение дифференциального диагноза между гемангиомой и злокачественным поражением печени;
  4. оценка состояния внутрибрюшных лимфатических узлов.
Так выглядит на эластографии здоровая печеньТак выглядит на эластографии здоровая печень

Исследование мягких тканей и подкожной клетчатки

Эластография – это прекрасное дополнение к классическому ультразвуковому способу исследования мягких тканей и подкожной клетчатки. Сегодня УЗ-технологии активно используют для мониторинга кожных отеков и заживления ран, для изучения структуры кожи при таких заболеваниях, как псориаз, склеродермия, панникулит. С помощью эластографии стало возможным быстрое выявление опухолевых образований (меланома, базальноклеточная карцинома, сквамозноклеточная карцинома).

Показания к проведению эластографии мягких тканей:

  • наличие пальпаторно определяемого инфильтрата для уточнения природы этого образования;
  • выявление непальпируемого образования, не имеющего четких границ;
  • проведение дифдиагноза между воспалением, липомой, первичным раком кожи или метастазами;
  • оценка состояния регионарных лимфатических узлов.
ЛимфаденопатияЛимфаденопатия

Таким образом, эластография (соноэластография) — дополнительная методика, расширяющая возможности традиционного УЗИ, которая дает возможность оценивать эластичность тканей исследуемого органа и на основе этого уточнять диагноз по ряду патологий (по большей части связанных с онкологией).

В нашей клинике для выполнения эластографии мы используем ультразвуковой аппарат премиум-класса Affiniti 70 компании PHILIPS, который обеспечивает безупречное качество визуализации, а значит – высокую точность диагностики. Специальной подготовки к исследованию не требуется.