Собственные здоровые зубы в пожилом возрасте – к огромному сожалению, скорее исключение, нежели общее явление. Почти каждый человек почтенного возраста сталкивается с необходимостью протезирования. Всем известно, что существуют доступные съемные протезы. Однако большинство обращающихся к нам пациентов считает их неприемлемым для себя вариантом. Неудобно жевать. И вообще психологически некомфортно ощущать себя беззубым человеком. А ведь и с удобством конструкции, и с моральным аспектом, и с социальным статусом человека мы должны считаться в первую очередь.

В современной стоматологии пациент при обращении к врачу как правило узнает о нескольких возможных способах лечения. Реальной альтернативой классическому съемному протезированию (в случае челюсти без зубов) является установка несъемных протезов с опорой на имплантах.

Расскажем о данном способе на примере одной нашей пациентки. Несмотря на возраст она обладает удивительно активной жизненной позицией, которой может позавидовать большая часть молодежи. В меру своих сил занимается спортом, люби путешествовать. И она категорически отвергла вариант съемного протезирования. И даже в качестве временной конструкции сроком более, чем на полгода.

Обговорив все варианты лечения, мы приступили к санации верхней челюсти, удалив неподлежащие восстановлению зубы, установив съемный протез в день удаления, чем обеспечили пациентке непрерывное наличие зубов.

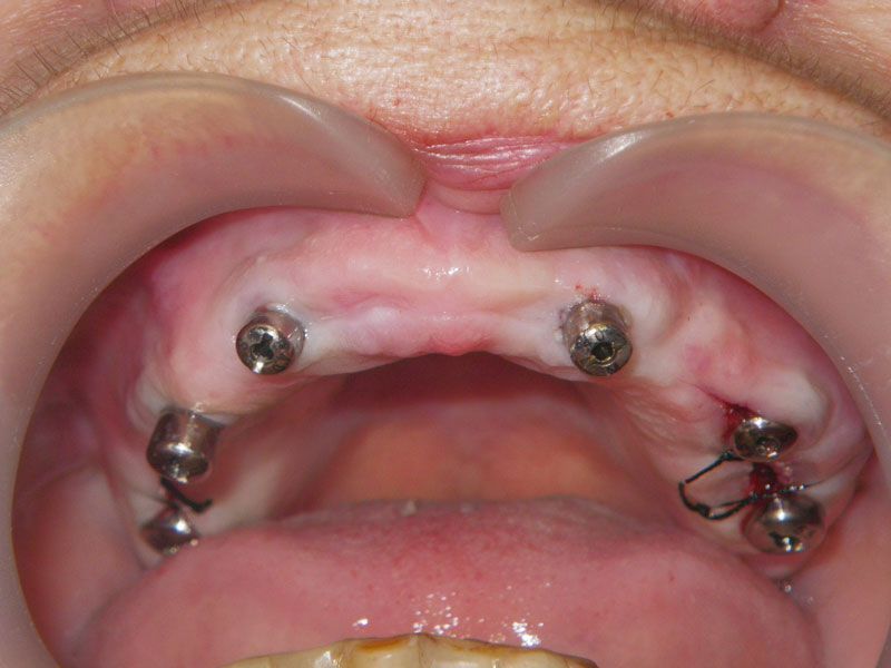
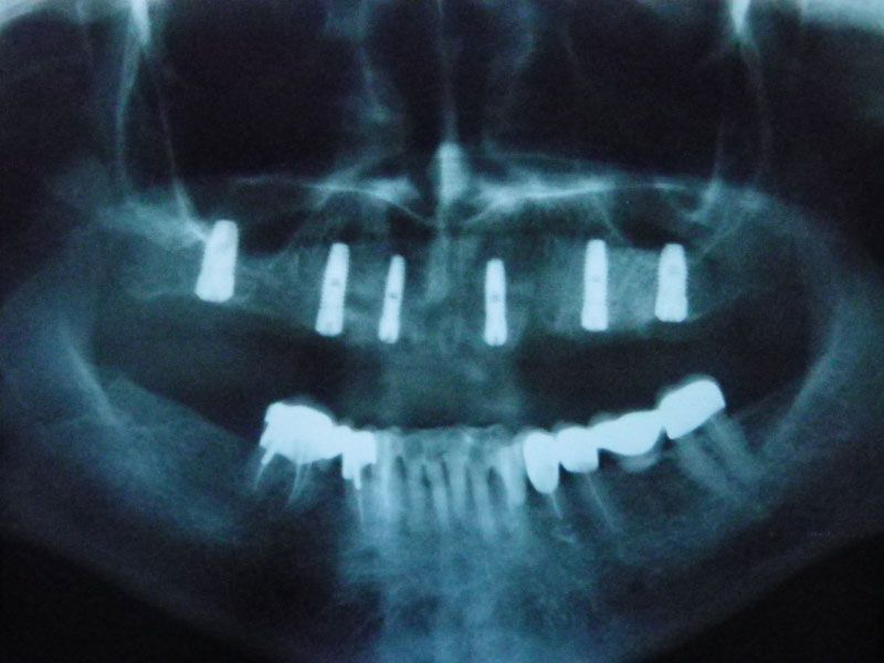
Через 10 недель, после 3D-моделирования и подробнейшего планирования, была проведена операция установки имплантов в позиции опорных зубов. Нужно отметить, что операция, несмотря на объем, была малоинвазивной: импланты были подобраны таким образом, что не потребовалось проводить обширных костных пластик.

Протезирование для пациентов пожилого возраста

Сразу после операции была проведена коррекция протеза и наша пациентка ушла домой с привычным к тому моменту собственным съемным протезом. Летние месяцы пролетели быстро, и уже через три месяца она обратилась в нашу клинику за контрольными снимками и окончательным протезированием.

Протезирование для пациентов пожилого возраста Протезирование для пациентов пожилого возраста

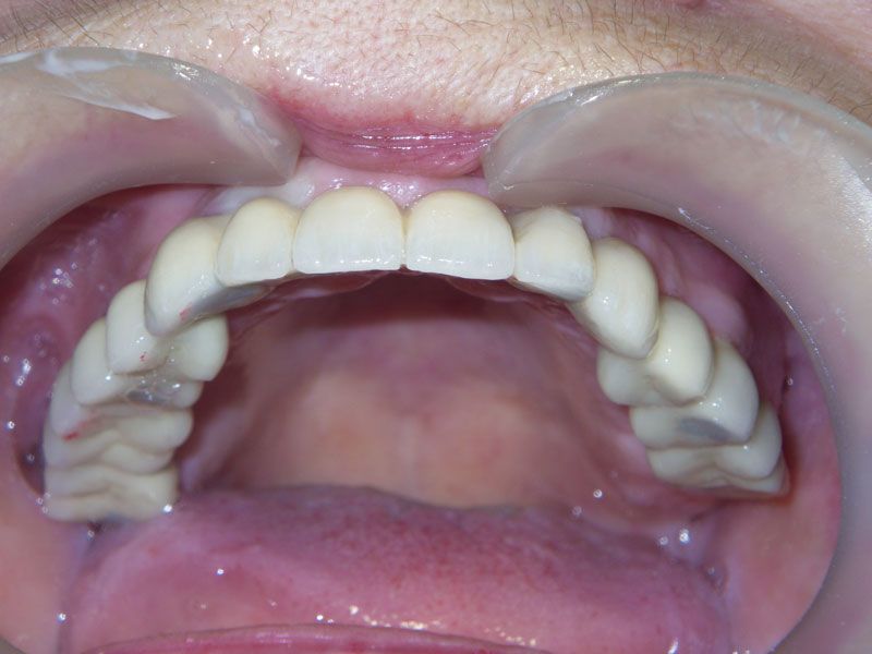
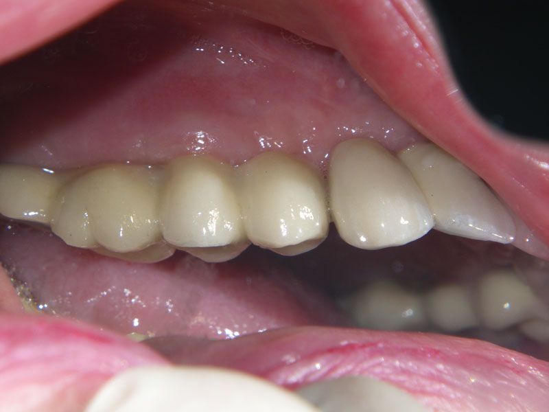
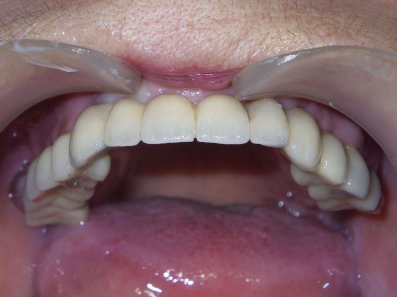
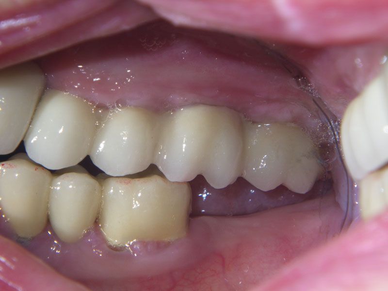
Протезирование было проведено с помощью трех мостовидных протезов, причем выбор цвета и формы зубов был предоставлен пациенту. Оказалось, что высоко-эстетичнын зубы, были мечтой пациентки всю жизнь. Они и были выбраны. Диссонанс с собственными зубами, которыми так дорожила наша пациентка до операции, оказался столь сильным, что теперь в планах пациентки заняться нижней челюстью в плане функционально-эстетическойй реабилитации фронтального участка несъемным протезированием на имплантах.

Протезирование для пациентов пожилого возраста Протезирование для пациентов пожилого возраста
Протезирование для пациентов пожилого возраста Протезирование для пациентов пожилого возраста

В заключении, надо сказать, что альтернатива есть почти всегда. И она абсолютно доступна.

Главное – принять решение и действовать!..

Будьте здоровы!