🔥 Скидка на лучевую диагностику КТ и МРТ 🔥

Один в поле не воин

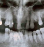
CELTЧастных стоматологических кабинетов и клиник в Москве – множество, в настоящее время более 950-ти только официально зарегистрированных. Большинство из них представляют пункт стоматологической помощи на 1-2, реже 3 кресла, где стоматологические услуги предоставлены терапевтической и ортопедической, иногда хирургической помощью. Стоматологическое отделение МК «ЦЭЛТ» оснащено всем необходимым, включая рентгенологическое и диагностическое оборудование, без которого немыслима качественная стоматологическая помощь >>

22.03.2012
Ждем вас в центре!+7 (495) 788 33 88
График работы клиники:
  • Круглосуточно
    (кардиология, лучевая диагностика)
График работы справочной службы:
  • Круглосуточно
Запишитесь на прием или консультациюЗаписаться на прием
ЦЭЛТ

Клиника доктора Бронштейна